IHC第三方質控品——病理質控基石,精準診斷起點
發布時間:2025/03/27分類:技術文章來源:科佰生物
描述
免疫組化(Immunohistochemistry,簡稱IHC)是一種利用特異性抗體與目標抗原結合的原理,結合組織學技術,在組織或細胞中定位和檢測特定蛋白質或多肽分子的技術。通過染色或熒光標記,免疫組化能夠在顯微鏡下直觀地顯示目標分子在組織或細胞中的分布情況。
IHC應用
目前免疫組化檢測技術主要應用于以下領域:
病理診斷:如腫瘤標志物(HER2、PD-L1、ER/PR等)檢測。
科研實驗:蛋白質表達與分布研究、信號通路研究。
藥物研發:靶點驗證、藥物作用機制研究。
法醫學:組織樣本中的特定蛋白質鑒定。
IHC臨床意義
精準疾病診斷
免疫組化通過檢測組織樣本中特定蛋白質的表達,能夠幫助病理學家對疾病進行精準分類和診斷。比如通過特定的標志物(如TTF-1、CK7、CK20)確定腫瘤的原發部位。
腫瘤分子分型
免疫組化是腫瘤分子分型的核心工具,比如ER(雌激素受體)、PR(孕激素受體)和HER2的表達狀態是乳腺癌分型的重要依據,直接影響內分泌治療和靶向治療的選擇。
治療靶點檢測
免疫組化可以檢測腫瘤細胞中特定靶點的表達,為靶向治療和免疫治療提供依據。比如PD-L1表達水平是評估免疫檢查點抑制劑(如帕博利珠單抗)療效的重要指標。
指導臨床試驗入組
免疫組化檢測結果是許多臨床試驗篩選入組患者的重要標準,比如PD-L1表達水平是免疫治療臨床試驗的入組條件之一。
IHC檢測面臨問題
在免疫組化(IHC)檢測中,您是否面臨以下挑戰:
? 檢測結果重復性差,無法滿足檢測標準要求?
? 陽性對照不穩定,難以實現醫學實驗室質量管理規范?
? 室間質評(EQA)結果不理想,無法通過CNAS認證?
IHC檢測實驗室質控
IHC實驗的復雜性遠超想象,從組織固定到抗體選擇,任何環節的偏差都可能導致“假陰性”“假陽性”甚至誤診風險。傳統質控依賴實驗室自制對照,但面臨諸多挑戰:
組織來源不穩定:自備對照易受固定、處理差異影響,批次間可比性差;
耗時耗力:手工切片、標記效率低,增加人力成本;
數據追溯難:缺乏標準化參考,室間比對結果爭議頻發。
科佰 IHC質控品:合規、精準、高效
? 即用型設計:即開即用,無需切片、標記,節省50%質控準備時間;
? 超長穩定性:-20℃保存3年,批次間一致性嚴格質控;
? 全流程適配:兼容 Leica、Roche、Dako 等主流自動化平臺,支持DAB、熒光等多種顯色系統。
IHC質控品四大應用場景,賦能病理實驗室
抗體/試劑驗證:新抗體首次使用前,驗證靈敏度與交叉反應,避免“無效實驗”;
日常質控:每批次實驗同步染色質控片,實時監控儀器、操作穩定性;
室間比對:同一質控片分發多實驗室,快速定位“問題環節”(如修復條件、抗體失效);
人員培訓:標準化質控片作為“參考答案”,助力新手快速掌握判讀標準。
科佰生物
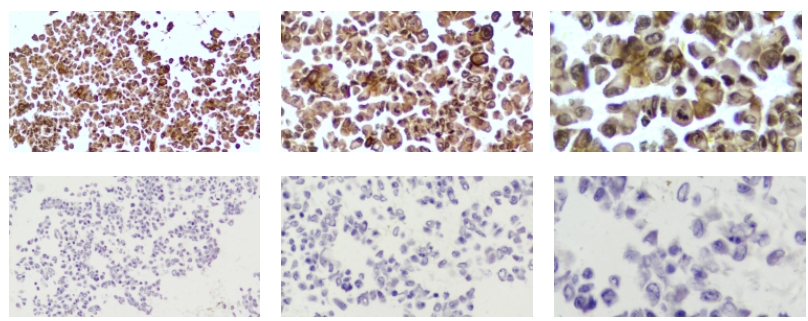
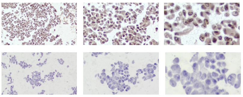
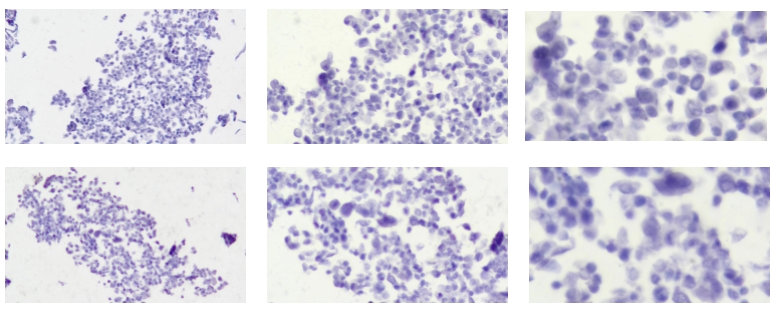
科佰生物依賴自身巨大的細胞資源庫、強大可靠的細胞表達篩選技術、穩定的FFPE細胞蠟塊制備工藝,已完成了數款IHC質控品,可覆蓋CLDN18.2、EGFR、HER2、ALK、NTRK等多個靶點,而且還在不斷地開發更前沿的生物靶標。

CLDN18.2 +++ 石蠟塊標準品 CBPN0002

CLDN18.2 ++ 石蠟塊標準品 CBPN0004

CLDN18.2 +石蠟塊標準品 CBPN0006

CLDN18.2 陰性石蠟塊標準品 CBPN0008

CLDN18.2 四合一 石蠟塊標準品 CBPN0013

CLDN18.2 混合石蠟塊標準品(低中高比例20%/40%/40%) CBPN0023

CLDN18.2 混合石蠟塊標準品(低中高比例10%/45%/45%) CBPN0025

CLDN18.2 混合石蠟塊標準品(低中高比例60%/20%/20%) CBPN0027

CLDN18.2 混合石蠟塊標準品(低中高比例40%/30%/30%) CBPN0029
