詢 價
索取COA
產品描述
產品數據庫
| Introduction | |
| Description | CLDN18.2是Claudin蛋白質家族的一員,位于細胞膜表面,Claudin18.2(CLDN18.2)表達具有特異性。其作為Claudins蛋白的一個亞型,在正常組織中僅表達于分化的胃黏膜上皮細胞。在胃癌、食管癌和胰腺癌等多種腫瘤中表達,并且不僅限于原發病灶,在轉移灶中也有表達。目前臨床研究中使用的檢測方法均為免疫組化。 |
| Technical Data | |
| 細胞數量 | 以實際為準 |
| 石蠟塊厚度 | 4mm |
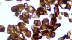
| 示例 | ![]() |
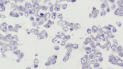
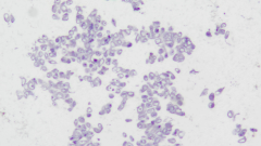
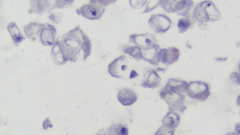
| IHC染色結果 | |
|
|
|
| Product Information | |
| Intended Use | Research Use Only |
| Unit Size | 4mm/塊 |
| Storage | -25~-15℃ |
| Expiry | 36 months from the date of manufacture |


