CSF3R Q741*/BaF3
CBP73254
詢 價
留 言
產品描述
產品數據庫
| I. Introduction | |
|
Cell Line Name: |
CSF3R Q741*/BaF3 |
|
Host Cell: |
Ba/F3 |
| Stability: | 16 passages (in-house test, that not means the cell line will be instable beyond the passages we tested.) |
|
Application: |
Anti-proliferation assay and PD assay |
|
Freeze Medium: |
90% FBS+10% DMSO |
|
Complete Culture Medium: |
RPMI-1640+10%FBS |
|
Mycoplasma Status: |
Negative |
| II. Background | |
|
CSF3R, colony stimulating factor 3 receptor, encodes a cytokine receptor regulating proliferation and differentiation of myeloid progenitor cells (PMID: 27789332). CSF3R mutations commonly occur in chronic neutrophilic leukemia and acute myeloid leukemia (PMID: 23896413, PMID: 30348809). |
|
| III. Representative Data | |
|
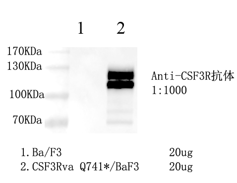
1.WB of CSF3R Q741/BaF3
|
|
|
2. Anti-proliferation assay
Figure 2. Anti-proliferation assay of three reference compounds on the CSF3R Q741/BaF3. |
|

