詢 價
索取COA
產品描述
產品數據庫
| Introduction | |||||||||||||||||||||||||||||||||||||||||||||||||
| Name | Angelman syndrome (46,XX,del(15)(q11q13)) Reference Standard | ||||||||||||||||||||||||||||||||||||||||||||||||
| Format | Genomic DNA | ||||||||||||||||||||||||||||||||||||||||||||||||
| Technical Data | |||||||||||||||||||||||||||||||||||||||||||||||||
| Mutation | Angelman syndrome | ||||||||||||||||||||||||||||||||||||||||||||||||
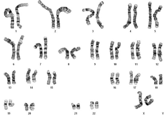
| Karyotype | 46,XX,del(15)(q11q13) | ||||||||||||||||||||||||||||||||||||||||||||||||
| 染色體(GRCh37)異常區域 (CMA) | chr15:22,770,422-28,644,578 | ||||||||||||||||||||||||||||||||||||||||||||||||
| 變異類型 | Loss | ||||||||||||||||||||||||||||||||||||||||||||||||
| 長度(bp) | 5874157 | ||||||||||||||||||||||||||||||||||||||||||||||||
| ACMG變異分類 | 致病性 | ||||||||||||||||||||||||||||||||||||||||||||||||
| Representative Data Z-Score:
![]() ![]() 染色體模擬核型圖: ![]() |
|||||||||||||||||||||||||||||||||||||||||||||||||
Product Information |
|||||||||||||||||||||||||||||||||||||||||||||||||
| Intended Use | Research Use Only | ||||||||||||||||||||||||||||||||||||||||||||||||
| Unit Size | 1ug | ||||||||||||||||||||||||||||||||||||||||||||||||
| Concentration | Download for COA | ||||||||||||||||||||||||||||||||||||||||||||||||
| DNA electrophoresis | Download for COA | ||||||||||||||||||||||||||||||||||||||||||||||||
| Storage | 2-8℃ | ||||||||||||||||||||||||||||||||||||||||||||||||
| Expiry | 36 months from the date of manufacture | ||||||||||||||||||||||||||||||||||||||||||||||||


